
ES HORA DE DISEÑAR TU SONRISA

Invisalign® es la marca de alineadores pionera a nivel mundial que ahora la podes encontrar en Santa Cruz, Bolivia!
Los avances de la tecnología nos permiten brindar un tratamiento mas predecible, cómodo, de facil higiene y sobre todo con Altísima Estética, ideal para pacientes que buscan resultados mas rápidos e imperceptibles, pues al ser transparentes, nadie se da cuenta que llevas una ortodoncia.

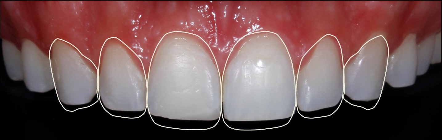
Como odontóloga es mi deber preservar la salud bucal y las resinas me lo permiten! Por lo que es posible realizar grandes lindos cambios sin necesidad de quitar tejido natural sano y construir la sonrisa de tus sueños.
Esto se debe a que las resinas se adhieren al tejido dental a traves de la adhesion y de esa forma no necesitamos crear espacio (desgastar diente) para colocar el material.
Pero, las resinas cambian de color? Antiguamente las resinas no habian evolucionado como hoy en dia, por lo que existen excelentes materiales que nos permiten una estabilidad y color a largo plazo, es decir por muchos años.
¿Siempre soñaste en tener una sonrisa perfecta? Entonces ahora es el momento de cumplir tus sueños!
.png)

Agenda una consulta, donde todas tus dudas y expectativas serán escuchadas con mucha paciencia, dedicación y podamos diseñar juntos la sonrisa que tanto buscas.
La tarea de cuidar tu salud bucal es compartida, dejala en manos de profesionales.
Odontóloga Cirujana de Universidad Católica Boliviana San Pablo - Bolivia
Especialista en Ortodoncia con capacitación en Mini Implantes y Odontología Estética de Faculdade Sao Leopoldo Mandic - Brasil
Acreditación en Alineadores Ortodonticos Invisalign®
Posgrado en Excelencia en Resinas Compuestas en Falh Center - Brasil
Posgrado en Resinas Compuestas Posteriores en IGC - Brasil
Inmersión en Toxina Botulínica y Acido Hialuronico en Faculdade Sao
Leopoldo Mandic - Brasil

.jpg)

.png)


Procedimiento indicado para aclarar el tono de los dientes, de la manera más paulativa disminuyendo la sensibilidad dental
.jpeg)
Para determinar un tratamiento, cada paciente necesita pasar por una consulta donde se toman datos de manera exhaustiva, lo que nos permitirá planificar juntos las mejores opciones que se adapten a las necesidades y expectativas del paciente. Para ello en muchas ocasiones se necesitan exámenes complementares (fotografías, modelos de estudio, radiografías) que ayudarán en el proceso de planificación y nos darán luz verde para ejecutarlos.
QUIERO SABER MÁS
I Corintios 16: 14

¨Encontrá tu pasión, pensá en ella como un sueño, idealizalo y lucha por él cada día.¨